10 неделя беременности — это третий акушерский месяц. Если взглянуть на календарь беременности по неделям, то с момента зачатия прошло 64-70 дней. Десятая неделя беременности — важный период. Будущий малыш из стадии эмбриона (зародыша) переходит в стадию плода (фетальную стадию). Ему уже 8 недель. Пройден важный этап — опасность генетических отклонений миновала, больше сформироваться они не могут.
Постановка на учет
По правилам, беременная женщина должна встать на учет на 6 неделе. Но если она этого не сделала, 10 неделя беременности от зачатия — самое время, чтобы этим заняться.
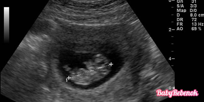
Что покажет УЗИ на 10 неделе беременности. Фото плода
На 10 неделе беременности обычно не проводят УЗИ без каких-то особенных показаний. Обычно контрольное исследование назначают на период между 10 и 14 неделями. Но если сделать УЗИ на 10 неделе, можно увидеть, что плод уже похож на человека. Если он не спит, то активно шевелится, двигает ручками и ножками, может брать пальчик в рот. Плод находится в пузыре, наполненном амниотической жидкостью.
Фото УЗИ на 10 неделе беременности
Развитие плода на 10 неделе беременности. Что происходит с малышом
10 неделя беременности — время интенсивного развития.
- Развивается нервная система и мозг. Нервная система уже подразделяется на центральную и периферическую.
- У плода уже сформировались почти все внутренние органы, активно работает кровеносная система.
- Сердце бьется часто — около 150 ударов в минуту.
- Сформированы желудочно-кишечный тракт, развивается печень.
- Развивается иммунная и лимфатическая системы.
- Появляется диафрагма.
- Хрящевые зачатки костей замещаются настоящей костной тканью, развиваются зачатки молочных зубов. Организм будущего ребенка сейчас требует много кальция.
- Ребенок уже имеет свою группу крови — в крови появились соответствующие агглютинины и агглютиногены. Группа крови ребенка зависит от групп крови родителей, но совсем не обязательно совпадает с одной из них.
- Если это мальчик, его яички уже начинают вырабатывать тестостерон.
- Если девочка, ее яичники вырабатывают эстроген. Наружные половые органы плода еще не сформированы.
- Уже появились ручки, ножки и даже пальцы на них.
Вес плода на 10 неделе беременности составляет 4-5 граммов, а размер плода — 35-40 мм. Он еще совсем маленький, но у него уже есть все важные внутренние органы, закладываются половые признаки, хотя пол еще нельзя определить. Плод прозрачный, на коже появляется пушок.
Фото животиков. Как выглядит живот на 10 неделе беременности
10 неделя беременности — Ощущения будущей мамы
- Живот на этом сроке еще практически не растет — плод пока слишком маленький. Однако матка увеличивается в размерах и выходит из области малого таза, поэтому женщина может ощущать какую-то тяжесть и наполненность внизу живота.
- Могут быть тянущие боли в паху и внизу живота — это сигнализирует о себе растущая матка. Ее связки натягиваются, что немного болезненно.
- Также на 10 неделе беременности будущая мама продолжает прибавлять в весе, в основном увеличиваются молочные железы, объем матки, количество крови в организме. На 10 неделе беременности женщина должна набрать 2-3 кг. Если вес начал уменьшаться, нужно обращаться к врачу. В норме такого быть не должно.
- На 10 неделе беременности могут возникать неприятные симптомы со стороны пищеварительной системы, например, боли в животе, изжога — это происходит из-за сокращения мышц.
- Могут возникнуть запоры. Их причина в первом триместре беременности кроется в повышенной выработке прогестерона, который расслабляет мускулатуру кишечника.
- Для предупреждения и лечения запоров нужно принимать натуральные безопасные слабительные — курагу и чернослив. Спать лучше на боку, чтобы не создавать нагрузку на кишечник. Если есть необходимость приема слабительного, нужно посоветоваться с врачом. Такие средства, как магнезия и вазелиновое масло, при беременности противопоказаны.
- На 10 неделе беременности увеличивается пигментация — могут появиться пятна на лице, потемнеть щеки («маска беременной»), белая линия живота (от пупка вниз). Вместе с этим усиливается рост волос — может вырасти пушок на животе, лице, на груди. Не нужно беспокоиться — это связано с изменением гормонального фона и пройдет само в первые месяцы после родов.
- Увеличиваются и грубеют молочные железы. Вокруг сосков появляются так называемые узелки Монтгомери.
- Будущую маму может беспокоить сонливость, частые смены настроения, нервозность, раздражительность. Все это связано с гормональными изменениями, а они — с быстрым и активным развитием малыша. Часто беременным женщинам снятся удивительно яркие и красочные сны из-за того, что во время вынашивания ребенка активизируется особая зона коры мозга.
- Могут сохраняться явления токсикоза, но они постепенно уменьшаются. Ко второму триместру должно стать значительно легче.
Выделения на 10 неделе беременности
Если выделения изменились — стали желтыми, зеленоватыми, с хлопьями и неприятным запахом, нужно срочно выяснить, в чем причина. Если дело в заражении какой-то инфекцией, ее необходимо вылечить, иначе она может навредить будущему ребенку. Также на инфекцию указывают рези и боль при мочеиспускании, зуд половых органов.
Опасность на 10 неделе беременности представляют коричневые или кровянистые выделения. Если они появились и тем более сопровождаются болями внизу живота, напоминающими схватки, это свидетельствует о начале выкидыша. В этом случае необходимо вызывать скорую! Промедление здесь грозит потерей ребенка.
Кровянистые выделения с тянущими болями могут говорить о внематочной беременности. Это очень опасное состояние! Если внематочная беременность не была диагностирована раньше, то сейчас выросшая яйцеклетка может разорвать фаллопиеву трубу. Разрыв угрожает жизни женщины, поэтому нужна немедленная госпитализация и операция.
Советы будущей маме
10 неделя беременности — период, когда не нужно пренебрегать физическими нагрузками. Конечно, заниматься нужно аккуратно. Лучше всего будущей маме подходит йога и плавание — они хорошо влияют на нервную систему. Физическая активность поможет поддерживать себя в форме и быстрее восстановиться после родов.
Это интересно:
Плоду сейчас требуется много кальция, поэтому нужно обращать внимание на состояние зубов и посещать стоматолога, если есть необходимость.
Питание на 10 неделе беременности
Питание, как и в течение всей беременности, должно быть полноценным. Чтобы избежать запоров, можно порекомендовать следующее.
- Достаточно пить — до 2 литров в сутки. Часто именно из-за недостатка жидкости возникают запоры. Кроме обычной воды, полезен сливовый сок.
- Уменьшить количество чая, кофе, кофеиносодержащих напитков.
- В пище должна быть клетчатка. Она содержится в хлебе из муки грубого помола, свежих овощах и фруктах, цельнозерновых продуктах.
- В каждый прием пищи съедать небольшую порцию салата.
- Перед завтраком хорошо выпить стакан теплой воды с лимоном — он «разбудит» кишечник.
- Питаться нужно небольшими порциями, но чаще.
- Мягким слабительным действием обладают сухофрукты: чернослив и курага.
Также женщина должна получать с пищей достаточно кальция, потому что на 10 неделе у ребенка активно формируются кости и зубы.
- Беременной женщине нужно от 1000 до 1300 мг кальция в сутки.
- Этот важный элемент можно получить не только из молочных продуктов, но и из брокколи, шпината.
- Продукты с кальцием нужно есть несколько раз в день, не нужно пытаться получить всю дозу за один присест, часть все равно не усвоится. Например, за один прием пищи достаточно выпить стакан молока, или съесть 40 г сыра, или одно яйцо, или около 80 г рыбы, или 125 г белой фасоли.
- Добавки с кальцием нужно принимать по рекомендации врача.
- Для усвоения кальция нужен витамин D, который вырабатывается во время пребывания под лучами солнца. Достаточно 15-30 минут в день.
Резус-фактор и резус-конфликт
На 10 неделе беременности важно выяснить наличие резус-конфликта между матерью и плодом. Его вероятность существует, если у мать резус-отрицательна, а отец — резус-положителен. Если конфликт есть, придется контролировать ситуацию и сдавать анализы каждый месяц, после 32 недели — каждые две недели, а с 35 недели — каждую неделю.
Рекомендуем к прочтению:
Резус-конфликт опасен тем, что может начаться отторжение плода иммунитетом матери, а также тем, что эритроциты у ребенка начнут разрушаться, что приведет к нарушению развития и возможной гибели плода. Кроме того, резус-конфликт повышает вероятность выкидыша в следующую беременность женщины. Для того, чтобы беременность и роды прошли без осложнений, в таких ситуациях делают уколы антирезусного иммуноглобулина.
Обследования на 10 неделе беременности. Что происходит с мамой
Если будущая мама встала на учет на 6 неделе, то на 10 наступает время очередного посещения врача. Врач назначает самые обычные анализы: анализ крови общий и на сахар, анализ мочи. Особое внимание нужно уделить уровню сахара в крови.
Если есть риск прерывания беременности, может понадобиться сдать анализ на ХГЧ. Его содержание растет с развитием беременности, и по динамике уровня ХГЧ врач может следить за тем, все ли нормально.
Если есть вероятность появления ребенка с генетическими или хромосомными отклонениями, например, с синдромом Дауна, то можно сделать анализ (биопсию) ворсин хориона.
Ворсины хориона — это выступающие части плаценты, по генетическому материалу совпадающие с плодом. Поэтому можно узнать, есть ли у ребенка хромосомные аномалии, такие как синдром Дауна, или генетические заболевания. С помощью этого теста можно проверить будущего ребенка на наличие более сотни хромосомных и генетических заболеваний.
Однако на 10 неделе беременности при проведении этого исследования существует небольшой (около 1%) риск выкидыша. Поэтому его обычно рекомендуют тем женщинам, у которых по результатам первого скрининга выявилась вероятность рождения ребенка с серьезными отклонениями. Имеет смысл проводить биопсию ворсин хориона, если женщина считает, что знание о наличии генетических отклонений у плода повлияет на ее желание стать матерью.
Простуда на 10 неделе беременности
Дома нужно много пить тепло жидкости, но с травами нужно быть осторожнее, для некоторых из них беременность — противопоказание. Нос нужно промывать солевым раствором. Помещение, в котором находится женщина, нужно часто проветривать, но не создавать сквозняков. Если нет температуры, то прогулки пойдут только на пользу.
Секс на 10 неделе беременности
Если нет угрозы прерывания беременности, то женщина не должна отказывать себе в физической близости. Конечно, нужно соблюдать некоторую осторожность. На 10 неделе беременности близость с мужем будет для женщины полезна и позволит на время забыть о некоторых неприятных ощущениях, связанных с ее новым положением.
10 неделя беременности — видео
Узнайте больше про следующие недели беременности: 11 неделя беременности, 12 неделя беременности, 13 неделя беременности, 14 неделя беременности, 15 неделя беременности
Частые вопросы
Какие изменения происходят в животе на 10 неделе беременности?
На 10 неделе беременности животик начинает медленно, но уверенно расти. Уже можно заметить небольшое выпячивание внизу живота.
Какие ощущения могут быть на 10 неделе беременности?
На 10 неделе беременности многие женщины могут испытывать усталость, сонливость, тошноту, повышенную чувствительность груди и изменение аппетита.
Когда лучше сделать УЗИ на 10 неделе беременности?
Идеальное время для проведения УЗИ на 10 неделе беременности – это примерно с 9 по 12 неделю. В этот период можно увидеть малыша, услышать его сердцебиение и оценить развитие плода.
Какие изменения происходят с плодом на 10 неделе беременности?
На 10 неделе беременности плод активно развивается. У него уже сформированы все основные органы и системы, начинают формироваться пальцы на руках и ногах, а также начинает функционировать плацента.
Можно ли делать фото животика на 10 неделе беременности?
Да, на 10 неделе беременности уже можно делать фото животика. Хотя он еще не слишком большой, но фотографии помогут запечатлеть этот особенный период и в дальнейшем будут радовать вас воспоминаниями.
Полезные советы
СОВЕТ №1
Регулярно делайте фотографии своего животика, чтобы запечатлеть его изменения на протяжении всей беременности. Это позволит вам не только сохранить воспоминания о своем состоянии, но и отслеживать рост и развитие ребенка.
СОВЕТ №2
Не забывайте про регулярные ультразвуковые исследования. Они позволяют контролировать развитие плода, определять его пол и выявлять возможные патологии. Обсудите с врачом частоту проведения УЗИ и следуйте его рекомендациям.
СОВЕТ №3
Слушайте свое тело и обращайте внимание на свои ощущения. Если у вас возникают боли или необычные симптомы, обязательно сообщите об этом врачу. Не стесняйтесь задавать вопросы и просить совета у специалиста – ваше здоровье и здоровье ребенка важны прежде всего.

