Признаки и симптомы на 6 неделе беременности
На 6 неделе проявления беременности уже достаточно явные и не заметить их невозможно. К основным симптомам можно отнести следующее:
- задержка менструаций;
- тошнота не только в утреннее время или в течение дня, но также и как реакция на раздражающий запах;
- обострение обоняния;
- продуцирование большого количества слюны;
- слабость, сильная сонливость, апатия, головокружения;
- частые смены настроения.
Все эти симптомы беременности на 6 неделе являются следствием гормональной перестройки организма женщины, и, как правило, от них не остается и следа к окончанию первого триместра, то есть к концу двенадцатой недели.
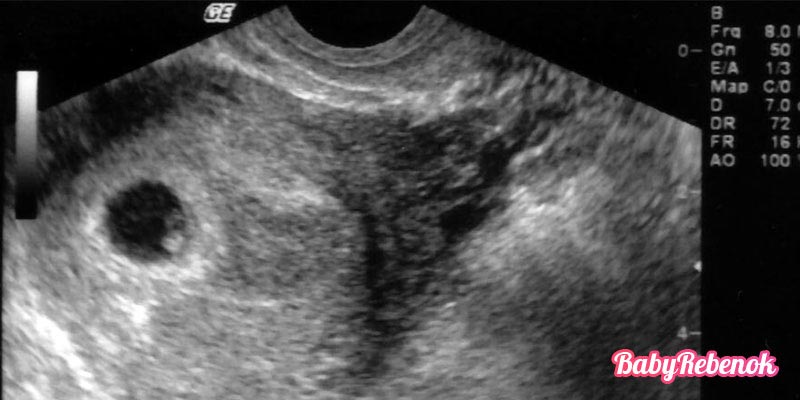
УЗИ на 6 неделе беременности
6 неделя беременности – это срок, когда при помощи аппарата УЗИ можно рассмотреть только плодное яйцо в матке и крохотного головастика — размер плода на 6 неделе беременности не более 5 мм внутри него. На данном этапе беременности у эмбриона выделяются только две основные части: голова и небольшое по сравнению с ней туловище, конечности же находятся в зачаточном состоянии.
Кроме того, именно на 6 неделе беременности при наличии хорошего ультразвукового аппарата можно увидеть первые сократительные движения сердечной мышцы эмбриона, которая на этом сроке представляет собой лишь пульсацию предположительно в области сердца, самого же органа еще не видно.
Фото плода — УЗИ на 6 неделе беременности
Развитие эмбриона (плода) на 6 неделе беременности
Как выглядит плод на 6 неделе беременности ? Несмотря на то, что плод (эмбрион) в 6 недель совсем крошечный, он уже начал свое внешнее превращение в настоящего человека. Уже сейчас оформляется личико, на котором различимы две небольшие впадинки как черные горошинки – будущие глаза, а также рот и небольшие наросты по бокам – зачатки ушек.
6 неделя беременности – очень значимый этап в развитии эмбриона, так как именно сейчас формируются зачатки жизненно необходимых и важных органов (бронхи, поджелудочная железа, легкие, желудок, кишечная трубка, печень) и систем малыша (пищеварительной, дыхательной, выделительной, иммунной, нервной).
Кроме того, на 6 неделе происходит активное затягивание нервной трубки эмбриона, которая имеет очень важное значение для дальнейшего развития мозга малыша.
Также следует отметить, что на 5-7 неделе беременности у плода появляются ручки, ножки и небольшой хвостик, который потом сформирует человеческий копчик.
Что происходит с мамой на 6 неделе беременности
6 неделя беременности – это срок, когда будущие мамочки меняются не только в психологическом и эмоциональном плане, но также и внешне. Набухает и немного увеличивается грудь, вокруг сосков и сами соски начинают темнеть и становятся заметно чувствительными. Живота еще нет, да и не может его быть, но талия, возможно, немножко увеличилась.
Кроме того, многие мамочки, находящиеся на 6 неделе беременности, могут отметить значительное ухудшение кожи лица. Это проявляется появлением прыщей, угрей, крупных пор, да и в целом общее состояние и цвет кожных покровов оставляют желать лучшего. Важно понимать, что это временное явление, и организм будущей мамы таким образом перестраивается гормонально. Нет необходимости тратить дополнительные средства для ухода за кожей, так как на данном этапе любое, даже самое действенное средство, не возымеет никакого эффекта.
Фото животиков. Живот на 6 неделе беременности
6 неделя беременности — ощущения. Что ощущает будущая мама?
То, что чувствует женщина на данном этапе можно отнести к противоречивым и несвойственным ощущениям, сильно отличающимся от тех, которые присутствовали до наступления беременности.
Многие мамочки отмечают, что ощущения на 6 неделе беременности кардинально изменились, даже в восприятии температурного режима окружающей среды.Так, например, если ранее при определенной температуре женщина ощущала холод, то теперь она начинает испытывать приливы жара, и наоборот. Особенно это заметно в вечернее время.
Данное явление объясняется скачками гормонов, и может сопровождать беременную на протяжении всего срока, но наиболее сильно проявляет себя именно в первом триместре, начиная с 6 недели беременности.
Нехарактерные ощущения на 6 неделе беременности, которые можно также отметить: рассеянность, сонливость вне зависимости от времени суток, упадок сил и недостаток воздуха. При наступлении подобных ощущений рекомендуется постараться максимально облегчить свое состояние, так как полностью убрать все симптомы не удастся, они пройдут сами как только гормональный фон придет в норму.
Так, например, при нехватке воздуха следует как можно чаще гулять на воздухе и не менее одного раза в сутки проветривать помещение, а желательно дважды: в течение дня и перед сном. Желание спать можно удовлетворить только сном, а рассеянность придется перетерпеть.
Почему болит поясница на 6 неделе беременности ?
Небольшая тянущая боль в пояснице на 6 недели беременности является нормой. Это связано с продуцированием гормона прогестерон, который оказывает сильное расслабляющее воздействие на мышцы и связки спины. Однако между нормой и патологией в отношении болей поясничного отдела очень тонкая грань. Если боль несильная, то волноваться не о чем. Если же она не проходит после отдыха, имеет нарастающий характер, и тем более сопровождается нетипичными выделениями, то это может свидетельствовать о появлении угрозы выкидыша и других заболеваний мочеполовой системы.
Почему болит или тянет низ живота на 6 неделе беременности
Как и боли в области поясницы, небольшие тянущие схваткообразного характера боли внизу и по бокам живота также являются нормой. Это связано с ростом матки и растяжением ее связок. Ненормальными болями считаются длительные по времени и ноющего характера, а также боли, которые появляются после физической нагрузки и сопровождаются кровянистыми выделениями из половых путей. В данном случае необходимо немедленное обращение к врачу, так как подобные боли и выделения могут свидетельствовать только о 2 отклонениях в течении беременности: угроза выкидыша и замирание плода.
Если выкидыш можно остановить при своевременном обращении за квалифицированной помощью, то замерший плод нужно как можно раньше извлечь из матки, так как после замирания эмбрион начинает разлагаться и отравлять органы половой системы женщины, последствия могут быть плачевными. Кроме того, важно помнить, что по статистике в первый триместр, начиная с 6 недели и вплоть до 10-ой, наиболее часто констатируются факты выкидышей и замираний плода.
Рекомендуем к прочтению:
Простуда на 6 неделе беременности
6 неделя беременности – это срок, когда необходимо очень внимательно следить за своим здоровьем. Иммунитет у будущей мамочки снижается, и организм уже не может сопротивляться различным формам инфекционных и вирусных заболеваний в полной мере. Важно знать, что высокая температура (более 38 градусов) на данном сроке равна практически гибели эмбриона, так как плацента только начала свое формирование и плод как никогда беззащитен перед инфекциями.
При обнаружении первых признаков простудного заболевания рекомендовано немедленное обращение за медицинской помощью. Самолечение в данном случае категорически запрещено, так как многие лекарства на этом этапе противопоказаны при беременности и корректное лечение может назначить только врач.
Это полезно:
6 неделя беременности — Выделения: норма и патология
На 6 неделе беременности нормальным считается немного увеличившаяся секреция из половых органов прозрачного, чуть белесого цвета, не имеющая резкого гнойного запаха.
Как правило, 6 неделя беременности – это период, когда многие мамочки жалуются на появление хлопьеобразных выделений, сопровождающихся зудом и раздражением наружных половых органов. Это молочница, которая очень распространена среди беременных и развивается как следствие гормональной перестройки организма.
На сам плод она не имеет какого-либо пагубного воздействия, но вызывает сильный дискомфорт у женщин. Данное заболевание легко поддается лечению и избавиться от этой напасти можно очень быстро. Необходимое лечение может быть назначено только квалифицированным специалистом, так как многие лекарственные препараты, даже если они были эффективны в применении до беременности, сейчас могут оказать пагубное влияние на плод, вызвав тем самым патологии в его развитии.
Еще один повод для посещения врача – это появление выделений нетипичной консистенции и цвета, в частности зеленых, желтых и гнойно-слизистых. Подобные выделения свидетельствуют о наличии инфекции, тип которой можно определить только путем забора мазка и дальнейшего его исследования.
Коричневые выделения на 6 неделе беременности
Внезапно появившиеся обильные кровянистые или коричневые выделения на 6 неделе беременности свидетельствуют о начавшемся выкидыше. В данном случае счет идет на минуты и результат зависит от того насколько быстро была оказана медицинская помощь. В некоторых случаях при быстром реагировании можно спасти эмбрион, но при появлении кровяных крупных сгустков речь идет уже об выкидыше, который остановить нет никакой возможности.
Правильное питание на 6 неделе беременности
Питание на 6 неделе беременности как никогда должно быть максимально насыщенным витаминами и полезными минералами, так как 6 неделя беременности – это именно тот период, когда происходит закладка и начальное формирование всех жизненно необходимых органов и систем малыша. Кроме того, активная выработка прогестерона не только помогает сохранить и поддержать саму беременность, но также и оказывает расслабляющее воздействие на кишечник, что может спровоцировать расстройство ЖКТ, проявляющееся сильным вздутием и задержкой стула. Данные неприятные явления также корректируются питанием, которое заключается в употреблении продуктов, богатых клетчаткой.
На 6 неделе беременности будущая мама может акцентировать свое внимание на следующих продуктах питания: творог, молоко, орехи, фрукты, рыба, овощи, печень и мясо. А вот употребление жирной, копченой и соленой пищи может привести к увеличению выраженности токсикоза у будущих мамочек, а также нарушить нормальную работу кишечника.
Однако следование правильному питанию на 6 неделе недостаточно для корректного формирования плода. Именно на этом сроке эмбрион как никогда нуждается в максимальном количестве витамина В, который выполняет незаменимую функцию в формировании и развитии нервной трубки плода. Все необходимое количество не может быть получено только из продуктов, поэтому, как правило, на данном этапе беременной назначают, в частности, фолиевую кислоту.
Читайте статью полностью:
6 неделя беременности — видео
Узнайте больше про следующие недели беременности: 7 неделя беременности, 8 неделя беременности, 9 неделя беременности, 10 неделя беременности, 11 неделя беременности
Частые вопросы
Какие ощущения могут возникнуть на 6 неделе беременности?
На 6 неделе беременности женщина может испытывать усталость, сонливость, тошноту, повышенную чувствительность груди, изменение аппетита и настроения.
Какое питание рекомендуется на 6 неделе беременности?
На 6 неделе беременности рекомендуется увеличить потребление питательных веществ, таких как фолиевая кислота, железо, кальций и белок. Важно также употреблять достаточное количество воды и избегать пищи, которая может быть вредна для развития плода, такой как сырые мясо и рыба, сырые яйца и некоторые виды сыров.
Какие симптомы могут возникнуть на 6 неделе беременности?
На 6 неделе беременности женщина может испытывать учащенное мочеиспускание, запоры или поносы, головные боли, головокружение, изменение аппетита, увеличение веса и отеки.
Какие выделения могут быть на 6 неделе беременности?
На 6 неделе беременности нормальными являются прозрачные или белые выделения без запаха. Если выделения становятся желтоватыми, зеленоватыми, сильно слизистыми или имеют неприятный запах, это может быть признаком инфекции и требует консультации с врачом.
Полезные советы
СОВЕТ №1
Следите за своим питанием. В 6 неделю беременности особенно важно уделять внимание правильному питанию. Постарайтесь увеличить потребление фруктов, овощей, злаковых и белковых продуктов. Избегайте жирной и острой пищи, а также продуктов, которые могут вызвать пищевое отравление.
СОВЕТ №2
Обратите внимание на свои ощущения и симптомы. В 6 неделю беременности могут возникать различные ощущения, такие как тошнота, усталость, повышенная чувствительность груди. Если у вас возникли какие-либо необычные симптомы, обратитесь к врачу для консультации и уточнения дальнейших действий.
СОВЕТ №3
Обратите внимание на выделения. В 6 неделю беременности может наблюдаться увеличение количества выделений. Однако, если вы замечаете необычные изменения в цвете, запахе или консистенции выделений, обязательно обратитесь к врачу, чтобы исключить возможные инфекции или проблемы.

