Для исключения неблагоприятного прогноза рекомендуется следовать всем назначениям врача, проводить своевременное обследование.
Демиелинизация
Что такое демиелинизация головного мозга станет понятным, если вкратце рассказать об анатомии и физиологии нервной клетки.
Нервные импульсы идут от одного нейрона к другому, к органам через длинный отросток, называемый аксоном. Многие из них покрывает миелиновая оболочка (миелин), которая обеспечивает быструю передачу импульса. На 30% она состоит из белков, остальное в ее составе – липиды.
Механизм развития
В некоторых ситуациях происходит разрушение миелиновой оболочки, что говорит о демиелинизации. Два основных фактора ведут к развитию этого процесса. Первый связывают с генетической предрасположенностью. Без влияния каких-либо очевидных факторов некоторые гены инициируют синтез антител и иммунных комплексов. Вырабатываемые антитела способны проникнуть через гемато-энцефалитный барьер и вызвать разрушение миелина.

В основе другого процесса лежит инфекция. Организм начинает продуцировать антитела, разрушающие белки микроорганизмов. Однако в некоторых случаях белки патологических бактерий и нервных клеток воспринимаются как одинаковые. Происходит путаница, и организм поражает свои собственные нейроны.
На начальных этапах поражения процесс можно остановить и повернуть вспять. Со временем разрушение оболочки доходит до такой степени, что она полностью исчезает, оголяя аксоны. Исчезает вещество для передачи импульсов.
Причины
В основе демиелинизирующих патологий лежат следующие основные причины:
- Генетическая. У части больных отмечают мутацию генов, отвечающих за белки миелиновой оболочки, иммуноглобулины, шестой хромосомы.
- Инфекционные процессы. Запускаются болезнью Лайма, краснухой, цитомегаловирусными инфекциями.
- Интоксикация. Длительное употребление алкоголя, наркотиков, психотропных веществ, воздействие химических элементов.
- Нарушение обмена веществ. Вследствие сахарного диабета происходит нарушение питания нервных клеток, что ведет к гибели миелиновой оболочки.
- Новообразования.
- Стрессы.

В последнее время все больше ученых считает, что механизм зарождения и развития носит сочетанный характер. На фоне наследственной обусловленности под воздействием окружающей среды, патологий развиваются демиелинизирующие заболевания головного мозга.
Отмечается, что чаще всего они возникают у жителей Европы, некоторых районов США, центра России и Сибири. Реже встречаются они у населения Азии, Африки, в Австралии.
Классификация
Описывая демиелинизацию, врачи говорят о миелинокластии – нарушении оболочки нейронов вследствие генных факторов.
Поражение, появляющееся из-за болезней других органов, свидетельствует о миелинопатии.
Патологические очаги возникают в головном мозге, спинном, периферических отделах нервной системы. Они могут обладать генерализированным характером – в этом случае повреждение затрагивает оболочки в различных частях тела. При изолированном поражение наблюдается на ограниченном участке.
Заболевания
В медицинской практике выделяется несколько болезней, характеризующихся демиелинизирующими процессами головного мозга.

К ним относится рассеянный склероз – в этой форме они встречаются чаще всего. Среди других проявлений – патологии Марбурга, Девика, прогрессирующая мультифокальная лейкоэнцефалопатия, синдром Гийена-Барре.
Рассеянный склероз
Страдает рассеянным склерозом приблизительно 2 миллиона населения планеты. Больше чем в половине случаев патология развивается у людей от 20 до 40 лет. Прогрессирует она медленно, поэтому первые признаки обнаруживаются только спустя несколько лет. В последнее время ее диагностируют у детей от 10 до 12 лет. Встречается она чаще у женщин, жителей городов. Заболевают больше люди, проживающие вдали от экватора.
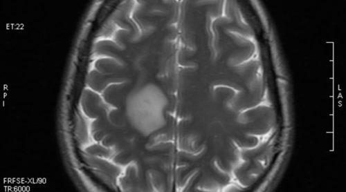
Диагностику заболевания осуществляют с помощью магнитно-резонансной томографии. При этом обнаруживаются множественные очаги демиелинизации. Преимущественно их обнаруживают в белом веществе головного мозга. Одновременно сосуществуют свежие и старые бляшки. Это является признаком постоянного процесса, объясняет прогрессирующий характер патологии.
У больных развиваются параличи, повышаются рефлексы сухожилий, возникают локальные судороги. Страдает мелкая моторика, нарушается глотание, голос, речь, чувствительность, способность держать равновесие. Если происходит поражение зрительного нерва, снижается зрение, восприятие цветов.
Человек становится раздражительным, склонным к депрессии, апатии. Иногда, наоборот, отмечаются приступы эйфории. Постепенно нарастают расстройства когнитивной сферы.
Прогноз считается относительно благоприятным, если заболевание на начальных стадиях поражает только чувствительные и зрительные нервы. Поражение двигательных нейронов ведет к расстройству функций мозга и его отделов: мозжечка, пирамидной и экстрапирамидной системы.
Болезнь Марбурга
Острое течение демиелинизации, приводящее к гибели, характеризует болезнь Марбурга. По данным некоторых исследователей, патология представляет собой вариант рассеянного склероза. На первых этапах происходит поражение преимущественно ствола мозга, а также проводящих путей, этим обусловлена ее скоротечность.
Болезнь начинает проявляться как обычное воспаление, сопровождающееся повышенной температурой. Могут возникать судороги. За короткое время в области поражения оказывается миелиновое вещество. Появляются двигательные нарушения, страдает чувствительность, нарастает внутричерепное давление, процесс сопровождается рвотой. Больной жалуется на сильные головные боли.

Болезнь Девика
Патология связана с демиелинизацией спинного отдела мозга и зрительных нервных отростков. Быстро развивается паралич, отмечаются расстройства чувствительности, нарушается работа органов, расположенных в тазовой области. Повреждение зрительного нерва ведет к слепоте.
Прогноз неблагоприятный, особенно это касается взрослых.
Прогрессирующая мультифокальная лейкоэнцефалопатия
Преимущественно у людей старшего возраста обнаруживаются признаки демиелинизирующего заболевания ЦНС, характеризующие прогрессирующую мультифокальную лейкоэнцефалопатию.
Повреждение нервных волокон ведет к парезам, возникновению непроизвольных движений, нарушениям координации, снижению интеллекта в течение короткого времени. В тяжелых случаях развивается деменция.
Синдром Гийена-Барре
Аналогичное развитие имеет синдром Гийена-Барре. Поражаются в большей степени периферические нервы. У больных, преимущественно мужчин, возникают парезы. Они страдают от сильных болей в мышцах, костях, суставах. О дисфункции вегетативной системы говорят признаки аритмии, изменения давления, повышенной потливости.
Симптомы
К основным проявлениям демиелинизирующего заболевания нервной системы относят:
- Двигательные нарушения. Возникают парезы, тремор, непроизвольные движения, повышается ригидность мышц. Наблюдаются нарушения координации движений, глотания.
- Неврологические. Могут возникать эпилептические приступы.
- Потеря чувствительности. Больной неправильно воспринимает температуру, вибрацию, давление.
- Внутренние органы. Отмечается недержание мочи, дефекации.
- Психоэмоциональные нарушения. У больных отмечают сужение интеллекта, галлюцинации, повышается забывчивость.
- Зрительные. Обнаруживается расстройство зрения, нарушается восприятие цветов, яркости. Они часто появляются первыми.
- Общее самочувствие. Человек быстро устает, становится сонливым.
Диагностика
Основной метод обнаружения очагов демиелинизации головного мозга – магнитно-резонансная томография. Она позволяет составить точную картину болезни. Введение контрастного вещества четче их очерчивает, позволяя выделить новые поражения белого вещества головного мозга.

Другие методы обследования включают пробы крови, исследование спинномозговой жидкости.
Лечение
Основная цель лечения – замедление разрушения миелиновых оболочек нервных клеток, нормализация функционирования иммунной системы, борьба с антителами, поражающими миелин.
Иммуностимулирующее и противовирусное воздействие оказывают интерфероны. Они активизируют фагоцитоз, делают организм более устойчивым к инфекциям. Назначаются Копаксон, Бетаферон. Показано внутримышечное введение.
Иммуноглобулины (ИмБио, Сандоглобулин) компенсируют естественные антитела человека, повышают возможности пациента противостоять вирусам. Назначаются преимущественно в период обострения, вводятся внутривенно.
Для проведения гормональной терапии назначается Дексаметазон и Преднизалон. Они ведут к уменьшению выработки антимиелиновых белков и предотвращают развитие воспаления.
С целью подавления иммунных процессов в тяжелых случаях используют цитостатики. К этой группе относится, например, Циклофосфамид.
Помимо лекарственного лечения, используется плазмаферез. Цель этой процедуры – очистка крови, удаление из нее антител, токсинов.
Проводится очистка спинномозговой жидкости. Во время процедуры через фильтры проводят ликвор с целью очистки его от антител.
Современные исследователи проводят лечение стволовыми клетками, пытаются применить знания и опыт генной биологии. Однако в большинстве случаев полностью остановить демиелинизацию невозможно.
Важной частью лечения является симптоматическое. Терапия направлена на улучшение качества и продолжительности жизни больного. Назначаются ноотропные препараты (Пирацетам). Их действие связывают с повышением умственной активности, улучшением внимания и памяти.
Противосудорожные лекарства уменьшают спазмы мышц и связанные с ними болевые ощущения. Это Фенобарбитал, Клоназепам, Амизепам, Вальпарин. Для снятия ригидности назначают миорелаксанты (Мидокалм).
Характерная психоэмоциональная симптоматика ослабляется при приеме антидепрессантов, седативных препаратов.
Прогноз
Демиелинизирующие заболевания, обнаруженные на начальных стадиях развития, можно остановить или притормозить. Процессы, глубоко затрагивающие ЦНС, имеют менее благоприятное течение и прогноз. В случае патологий Марбурга и Девика смерть наступает за считанные месяцы. При синдроме Гийена-Барре прогноз достаточно хороший.
К поражению миелиновой оболочки клеток головного, спинного мозга, периферических нервов приводит наследственная предрасположенность, инфекции, метаболитические нарушения. Процесс сопровождается развитием тяжелых заболеваний, многие из которых ведут к летальному исходу. Для остановки поражения головного мозга назначают медикаментозные препараты, призванные уменьшить скорость и развитие демиелинизации. Основная цель симптоматического лечения – снять остроту симптомов, улучшить мыслительную деятельность, уменьшить болевые ощущения, непроизвольные движения.
Для подготовки статьи использовались следующие источники:
Пономарев В. В. Демиелинизирующие заболевания нервной системы: клиника, диагностика и современные технологии лечения // Журнал Медицинские новости — 2006.
Черний В. И., Шраменко Е. К., Бувайло И. В., Островая Т. В. Демиелинизирующие заболевания нервной системы и возможности дифференциальной терапии в остром и подостром периодах // Международный неврологический журнал — 3 (13) 2007.
Синеок Е. В., Малов И. В., Власов Я. В. Ранняя диагностика демиелинизирующих заболеваний центральной нервной системы на основе оптической когерентной томографии глазного дна // Журнал Практическая медицина — 2013.
Тотолян Н. А. Диагностика и дифференциальная диагностика идиопатических воспалительных демиелинизирующих заболевай центральной нервной системы // Электронная библиотека диссертаций — 2004.
Частые вопросы
Каковы причины развития демиелинизирующего заболевания головного мозга и ЦНС?
Причины развития демиелинизирующего заболевания головного мозга и ЦНС могут быть разнообразными, включая иммунные нарушения, генетические факторы, инфекции и окружающую среду. Например, многие исследования связывают множественный склероз с автоиммунными процессами, когда иммунная система атакует миелин в нервной системе.
Каков прогноз при демиелинизирующем заболевании головного мозга и ЦНС?
Прогноз при демиелинизирующем заболевании головного мозга и ЦНС может быть различным в зависимости от конкретного заболевания, степени поражения и эффективности лечения. В некоторых случаях заболевание может прогрессировать, в других случаях можно достичь стабилизации состояния пациента с помощью лечения и реабилитации.
Полезные советы
СОВЕТ №1
Обратитесь к квалифицированному неврологу для получения точного диагноза и разработки индивидуального плана лечения.
СОВЕТ №2
Изучите возможности реабилитационной терапии, включая физическую реабилитацию, логопедическое обучение и психологическую поддержку.
СОВЕТ №3
Исследуйте возможности альтернативных методов лечения, таких как аккупунктура, йога и массаж, для улучшения качества жизни и снижения симптомов заболевания.