Воспаление головного мозга сопровождается разрушением нервных тканей и нарушением функционирования нервной системы. Обычно энцефалит головного мозга носит инфекционный характер. Болезнь проявляется самостоятельно либо вследствие ранее перенесённого заболевания. Выздоровление зависит от своевременности обращения за медицинской помощью.
Характеристика и причины патологии
Понятие включает ряд воспалительных болезней головного мозга. Воспаление головного мозга развивается в результате проникновения возбудителя болезни в организм человека либо вследствие аллергических явлений. Основная причина развития заболевания – нейроинфекция.
Микробы и вирусы вмешиваются в деятельность нервных волокон, нейронов и сосудов, отрицательно сказываясь на работе нервной системы. Проявляются признаки интоксикации, поражается оболочка и отдельные участки головного мозга.
В зависимости от зоны поражения выделяют менингит и энцефалит. Менингит сопровождается воспалением коры головного мозга, которое развивается вследствие переохлаждения, проникновения грибков, вирусов, бактерий. Энцефалит – тяжёлое состояние, при котором воспаляется головной мозг. Болезнь характеризуется тяжёлым течением и высокой летальностью.
Энцефалит бывает первичным и вторичным. Источником инфицирования при первичной форме обычно выступают насекомые. Заражённая особь кусает человека, затем вирус распространяется по кровяному руслу в мозг и иные органы. Эта форма проявляется вследствие вируса бешенства (от укуса заражённой собаки), герпеса, гриппа, Коксаки. Микробный энцефалит формируется в результате, например, сифилиса.
Исходя из причин первичной формы болезни, выделяют эпидемический, клещевой, герпетический, комариный, вирусный энцефалит.
Прививка АКДС, оспенная и антирабическая вакцины способны вызвать развитие энцефалита.
Поскольку вакцинация может стать причиной патологии головного мозга у младенцев, необходим тщательный осмотр новорождённых педиатром и невропатологом.
Вторичный энцефалит формируется как осложнение другой болезни: токсоплазмоза, малярии, кори, краснухи. Заразиться можно воздушно-капельным способом либо посредством употребления инфицированных продуктов питания.

Факторы риска
Различают несколько факторов, которые увеличивают риск возникновения патологии:
- детский возраст до 1 года, пожилые люди;
- наличие вируса простого герпеса;
- пониженный иммунный статус;
- летне-осенний период, когда наиболее активны насекомые-переносчики нейроинфекции.
Исходя из расположения возбудителя, выделяют подкорковый, мозжечковый, мезенцефальный, стволовой энцефалит.
Виды болезни
Каждая разновидность патологии характеризуется определёнными признаками и особым течением патологического процесса.
Эпидемический
Другое название – летаргический. Диагностируется как у детей, так и у взрослых. Симптоматика проявляется в резком увеличении температуры, интенсивных головных болях, болезненности суставной ткани.
У больного отмечается спутанность сознания, бредовые состояния, галлюцинации. Позже добавляется косоглазие, затруднённость дыхания, чрезмерное потоотделение.
Клещевой
Частота выявления подобного вида возрастает весной и летом, когда наиболее активны инфицированные клещи. Возбудитель заболевания передаётся через укус энцефалитного клеща.

При попадании в организм инфекция проникает в мозг посредством кровяного русла. Человек начинает бояться яркого света, нарастает боль в голове, развивается рвота. Происходит онемение конечностей, парализуются мышечные структуры.
Комариный
Другое название вида – японский. Инфицированные комары являются переносчиками вируса. Заболевание сопровождается высокой температурой тела, рвотой, спутанностью сознания. Фиксируется тремор конечностей, судорожные припадки. Вид характеризуется высоким процентом смертности.
Гриппозный
Развивается как осложнение гриппа. Проявляется тошнотой, болью в голове, снижением массы тела, слабостью. Заболевание часто вводит пострадавшего в коматозное состояние.
Коревой
Поскольку корь относится к детским болезням, то этот вид энцефалита присущ детям. Воспаление головного мозга начинает развиваться по прошествии нескольких дней после кори.
Больной слабеет, проявляется лихорадочное состояние, беспокоят приступы эпилепсии. Заболевание повреждает нервы черепа, вызывая паралич, миелит.
Ветряночный
Прогрессирует вследствие перенесённой ветряной оспы. Болезнь чаще диагностируется в детском возрасте. Ребёнок ослабевает, становится сонливым. Постепенно нарушается координация движений, развивается паралич рук и ног, эпилептические приступы.

Герпетический
Вирус герпеса поражает кору головного мозга. Этот вид прогрессирует медленно, приводя к нарушению сознания, мучительной головной боли, хаотичным движениям конечностей.
Признаки заболевания
Симптомы энцефалита дифференцируются в зависимости от возбудителя болезни и его расположения. Выделяют и общие проявления патологии. Как и другие болезни инфекционного характера, энцефалит влияет на увеличение температуры тела, расстройство пищеварения, нарушения в работе органов респираторного тракта.
Проявляется рвота, светобоязнь, приступы эпилепсии, нарастает головная боль. У пациентов нарушается сознание, человек может впасть в кому. Наблюдаются проблемы с психомоторным и сенсорным восприятием действительности: физическая гиперактивность, неправильное понимание параметров и форм предметов.

Энцефалит может протекать бессимптомно, молниеносно либо абортивно. Бессимптомное течение сопровождается незначительной болью в голове, лёгким головокружением. Абортивные формы вызывают симптомы простудных заболеваний либо желудочных инфекций.
Наиболее опасная форма – молниеносная, которая прогрессирует за несколько часов. Резко поднимается температура, человек впадает в коматозное состояние. Летальный исход регистрируется в результате сердечной недостаточности.
Возможные осложнения
Воспаление головного мозга в лёгкой форме проходит без значимых осложнений. Лечение заболевания тяжёлой формы может продолжаться несколько лет. Последствия энцефалита головного мозга развиваются не у всех людей, они зависят от индивидуальных особенностей организма.
Наиболее опасна ситуация, когда пациент не ощущает болезненных признаков, при этом вирус распространяется по структуре головного мозга. В таком случае развиваются необратимые осложнения:
- хроническая усталость;
- изменения личностного характера;
- невозможность сконцентрироваться;
- амнезия, которая со временем приводит к проблемам с краткосрочным запоминанием;
- нарушение двигательной активности;
- психические расстройства;
- потеря чувствительной восприимчивости.
Дегенеративные процессы в мозговых структурах приводят к инвалидности, смерти.
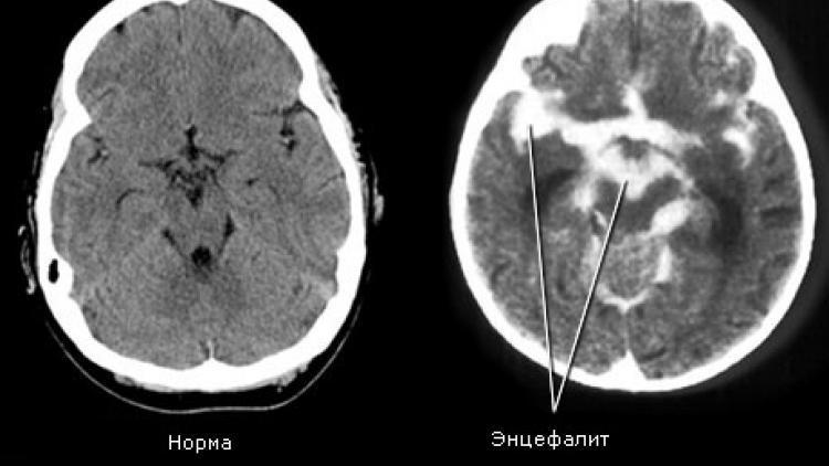
Диагностические методы
Доминирующий способ диагностики – пункция, во время которой специалист производит забор спинномозговой жидкости (ликвора). Биологический материал исследуется, в нём выявляют лимфоцитарный плеоцитоз, белковую концентрацию.
В анализе крови обнаруживается высокое количество лейкоцитов, скорость оседания эритроцитов увеличивается. Фиксируется эпилептическая деятельность. Во время проведения магниторезонансной томографии регистрируются патологические изменения головного мозга. При исследовании глазного дна определяются застойные явления зрительного нерва.

Болезнь диагностируется на основе результатов, полученных в ходе бактериологических и серологических испытаний. Вирусологическая идентификация очень трудна.
Способы терапии
При обнаружении болезненных признаков необходимо срочно вызвать бригаду скорой помощи. Больного помещают в инфекционное отделение. Исход лечения зависит от скорости проведения лечебных мероприятий. Зачастую пациенту требуется помощь реаниматолога.
Лечение энцефалита включает этиотропные, патогенетические и симптоматические методы.
Этиотропное лечение
Устраняет причины воспаления головного мозга, одной из которых является проникновение инфекционного агента. Для устранения инфекции используют антибактериальные препараты, противовирусные средства и человеческий иммуноглобулин, который необходим при клещевом энцефалите.
Антибиотики применяются при бактериальном характере энцефалит и вводятся внутривенно. Среди противовирусных медикаментов выделяют Ацикловир, Циклоферон, Виферон, Протефлазид.

Патогенетическое лечение
Основывается на использовании медикаментов, восстанавливающих повреждённые мозговые структуры. К таким лекарствам относят:
- гормональные средства;
- препараты противоотёчного действия – Маннит, Диакарб, Фуросемид;
- антигистаминные медикаменты – Супрастин, Лоратадин, Зодак, Тавегил;
- инфузии, корректирующие метаболические процессы, – Декстран, Трисоль, калий;
- ангиопротекторы – Кавинтон, Инстенон;
- антигипоксанты – Цитохром, Мексидол, Актовегин;
- противовоспалительные медикаменты – Ксефокам, Нурофен.
Больному вводятся витаминные препараты, средства, корректирующие работу сердца и органов респираторного тракта.
Симптоматическое лечение
Устраняет проявления отдельных симптомов, возникших вследствие энцефалита. Врачи назначают противосудорожные, жаропонижающие, антипсихотические препараты. Необходим приём средств, активирующих работу нервно-мышечного аппарата (Нейромидин) и уменьшающих тонус мышц (Сирдалуд).
Примечание! Приступы эпилепсии могут остаться с человеком навсегда, что требует приёма противосудорожных средств всю оставшуюся жизнь.
Пострадавшему показаны физиотерапевтические мероприятия: массаж, иглоукалывание, лечебная физкультура, электростимуляция. Пациент должен заниматься с психотерапевтом, логопедом.
На начальном этапе энцефалит не проявляется характерными симптомами, признаки похожи на простудное заболевание. Поэтому человек обращается к врачу поздно, когда мозговые клетки уже разрушены. Спасти пациента может экстренная медицинская помощь.
Частые вопросы
Каковы основные причины возникновения энцефалита головного мозга?
Основные причины возникновения энцефалита головного мозга могут быть вирусные инфекции, такие как герпес, клещевой энцефалит, вирус Зика, а также бактериальные инфекции, автоиммунные реакции и другие редкие причины.
Как происходит диагностика энцефалита головного мозга?
Диагностика энцефалита головного мозга обычно включает в себя неврологическое обследование, анализ крови и спинномозговой жидкости на наличие вирусов или антител, компьютерную томографию (КТ) или магнитно-резонансную томографию (МРТ) головного мозга.
Какие методики лечения энцефалита головного мозга применяются?
Лечение энцефалита головного мозга может включать применение антивирусных препаратов, противовоспалительных средств, реабилитационные мероприятия, такие как физиотерапия и лечебная гимнастика, а также симптоматическое лечение для облегчения боли и других симптомов.
Полезные советы
СОВЕТ №1
Обращайте внимание на профилактику: избегайте укусов клещей, носите защитную одежду и используйте репелленты при посещении лесных и травянистых мест.
СОВЕТ №2
При появлении симптомов, таких как высокая температура, головная боль, судороги или изменения в сознании, немедленно обратитесь к врачу для диагностики и лечения.
СОВЕТ №3
Помните, что энцефалит головного мозга требует комплексного лечения, включающего применение противовирусных препаратов, симптоматическую терапию и реабилитационные мероприятия.