Синдром Денди-Уокера — это врожденный порок, связанный с аномалией развития мозжечка. Болезнь распознается еще до появления ребенка на свет и, как правило, сопровождается разнообразными аномалиями других органов. Ребенок рождается, у него практически сразу развивается водянка мозга. Появлению аномалии Денди-Уокера у детей предшествуют следующие факторы:
- вирусные заболевания матери (особенно в начале беременности);
- расстройства обмена веществ (например, сахарный диабет);
- употребление алкоголя, курение, прием наркотических веществ.
Синдром Денди-Уокера — что это
Открытие и детальное исследование мальформации Денди-Уокера (Dandy-Walker malformation) в прошлом веке позволили выделить характерную для этой патологии триаду. В нее входят следующие признаки: отсутствие червя (или частичное его развитие), новообразования желудочка кистозного типа, отклонение от анатомической нормы задней черепной ямки (в большую сторону). Пазухи носа смещаются вверх, что составляет еще один признак. Мозжечок также меняет свое нормальное положение.
Недоразвитые пути для движения ликвора ведут к образованию гидроцефалии. Процент здесь высок – почти 90% пациентов испытывают неприятные ощущения в связи со скоплением ликвора в системе желудочков.
Синдром Денди Уокера — симптомы
Синдром распознается примерно на 5-м месяце беременности благодаря УЗИ. Исследование показывает присутствие кист в черепной ямке, недоразвитость мозжечка, чрезмерное увеличение объемов четвертого желудочка. С развитием плода эти признаки приобретают большую отчетливость.
Позже наблюдается неправильное развитие почек, сращение пальцев верхних и нижних конечностей (встречается полное), расщелины, образовавшиеся на небе и губе. Если УЗИ не делалось на протяжении беременности, то сразу после появления ребенка на свет все указанные симптомы могут быть легко обнаружены.
Мышечные спазмы и нистагм дают о себе знать ввиду повышенного внутричерепного давления (ВЧД). Из-за этого новорожденный ведет себя крайне беспокойно. В практике зафиксированы случаи, когда выраженные признаки гидроцефалии не наблюдались.
Манифестация болезни
При проведении планового УЗИ у беременной женщины выявляются характерные признаки дефектного развития плода. Аномалия Денди-Уокера заявляет о себе:
- заращением или полным отсутствием отверстий Мажанди и Люшка;
- неадекватными параметрами черепной ямки;
- атрофией мозжечковых полушарий;
- кистами;
- гидроцефалией.
Болезнь считается врожденной, хотя есть редкие случаи, когда признаки появляются после наступления четырех лет. В медицинской практике есть единичные случаи, когда синдром Денди-Уокера впервые проявляет себя у взрослого человека. У больного отмечаются сильные мышечные спазмы, нарушения координации, выпячивание затылка, развивается умственная неполноценность.
Формы проявления расстройства и осложнения
Если вести речь о разновидностях заболевания, то отмечаются две его формы – полная и неполная. При полной форме червь мозжечка отсутствует совсем, неполная форма характеризуется частичным недоразвитием отделов мозжечка.
Среди врожденных патологий развития нервной системы многие болезни относятся к классу опасных. Мальформация Денди-Уокера оказывается одной из самых сложных в плане протекания, лечения и последующего прогноза болезней. Дефект умственного развития при таком расстройстве необратим. На всю жизнь может сохраниться и неврологический статус – будет наблюдаться мышечный гипертонус, неправильная координация движений.

Синдром Денди-Уокера — диагностика
На первом этапе врач для постановки правильного диагноза осматривает больного и проводит сбор анамнеза. Эта процедура проходит в том случае, когда проявления болезни были замечены только после рождения.
Второй этап предполагает проведение неврологического осмотра. На нем врач обнаруживает у больного частые непроизвольные движения глаз в разные стороны (нистагм), у ребенка виден выступающий родничок. Тонус мышц может быть снижен, а голова имеет несвойственные для данного возраста размеры (она больше).
Выявить признаки заболевания у ребенка, находящегося в утробе матери, позволяет процедура УЗИ. Метод также хорош на поздних стадиях развития болезни, когда возникает необходимость исследовать сердце на предмет пороков.
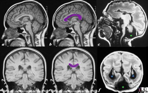
Достоверным методом, позволяющим с высокой степенью точности провести диагностику, является магнитно-резонансная томография (МРТ). Благодаря исследованию выявляются:
- наличие кистозных новообразований в черепной ямке;
- аномальное развитие мозжечка;
- расширение четвертого желудочка;
- водянка мозга.
Иногда для полноты клинической картины требуется консультация генетика и нейрохирурга.
Синдром Денди-Уокера — лечение
Для каждой из форм аномалии характерна определенная степень тяжести. Новорожденные с тяжелой формой расстройства практически не имеют шансов на выживание. В том случае, когда порок оказывается совместим с жизнью младенца, психическое его развитие связано с большими проблемами. Каждый родитель, услышав подобный диагноз, должен быть готов к тому, что его ребенок навсегда останется с низким уровнем интеллекта. Никакое коррекционное обучение в таком случае помочь не сможет. Точный прогноз дать практически невозможно, но вероятность летального исхода крайне высока.
Кроме того, проводить лечение аномалии и надеяться на полное выздоровление практически бессмысленно. Если водянка головного мозга будет усиливаться, то врач будет планировать хирургическое лечение. Снижение давления внутри черепа достигается за счет шунтирования четвертого мозгового желудочка.

Вся терапия, проводимая после постановки диагноза, направлена на борьбу с симптоматикой. Двигательные нарушения и умственная отсталость делают невозможными элементарные самостоятельные действия ребенка – больной не может сидеть, стоять, тем более ходить.
Поскольку аномалия сопровождается нарушениями в работе других органов, терапевтические мероприятия должны ориентироваться на возможные проблемы с сердцем, почками. Патологические изменения лица также требуют пристального внимания. Без квалифицированной медицинской помощи в данном случае не обойтись.
При выявлении аномалии у ребенка, находящегося в утробе матери, перед родителями встает тяжелый вопрос: прерывать беременность или соглашаться на роды. При этом важно помнить, что ребенок будет обречен всю жизнь страдать от неизлечимого недуга.
Оперативное вмешательство чревато рисками осложнений, но это единственный способ избавить больного от нарастающей симптоматики, снизить уровень скопившейся в желудочках жидкости, нормализовать ее отток. Шунтирование создает искусственный канал, по которому излишек ликвора оттекает в брюшную или грудную полости.
Профилактические меры
В качестве профилактики будущим мамам рекомендуется встать на учет в женской консультации как можно раньше (до 12-й недели), соблюдать все предписания гинеколога. Частота посещений в первом триместре должна составлять один визит в месяц. Во втором триместре каждые 2-3 недели, а в третьем – раз в неделю. Регулярное посещение врача позволит выявить отклонения в развитии плода, если таковые появятся.
Прогноз выживаемости
Согласно статистике, примерно половина детей с поставленным диагнозом умирает в течение первого года жизни. Те, кому удалось выжить, должны находиться на контроле у лечащего врача. Выраженный неврологический статус сохраняется вплоть до самой смерти человека.
Заключение
Аномалия Денди-Уокера, в соответствии с Международной классификацией болезней (МКБ 10-го пересмотра), относится к порокам развития нервной системы и имеет код Q03.1. Болезнь имеет достаточно тяжелую клиническую картину и не поддается лечению. Единственное, чего можно добиться консервативным и хирургическим лечением, это снижения дискомфорта от симптоматики.
Для подготовки статьи использовались следующие источники:
Л.А. Петрова, А.В. Розанов, Ю.И. Барашнев, В.О. Панов Синдром Денди—Уокера у новорожденных // Российский вестник перинатологии и педиатрии — 2010
Евзиков Г.Ю., Башлачев М.Г., Белозерских К.А., Парфенов В.А. АНОМАЛИЯ ДЕНДИ-УОКЕРА — РЕДКАЯ ПРИЧИНА СИРИНГОМИЕЛИИ У ВЗРОСЛЫХ // Неврология, нейропсихиатрия, психосоматика — 2017
Частые вопросы
Как проявляется синдром Денди-Уокера?
Синдром Денди-Уокера проявляется через нарушения координации движений, задержку развития, нарушения речи, судороги, и проблемы с зрением и слухом.
Каковы причины возникновения синдрома Денди-Уокера?
Синдром Денди-Уокера обычно вызван генетическими мутациями, которые приводят к нарушению работы мозга и нервной системы.
Каковы методы лечения синдрома Денди-Уокера?
Лечение синдрома Денди-Уокера направлено на улучшение качества жизни пациента и включает физическую терапию, лечение судорог, речевую терапию, а также коррекцию зрения и слуха.
Полезные советы
СОВЕТ №1
Обратитесь к педиатру для проведения комплексного обследования, если у вас есть подозрения на синдром Денди-Уокера. Раннее выявление и диагностика помогут начать лечение вовремя.
СОВЕТ №2
Поддерживайте ребенка эмоционально и психологически. Синдром Денди-Уокера может быть тяжелым для ребенка и его семьи, поэтому важна поддержка и понимание.
СОВЕТ №3
Ищите информацию и поддержку в специализированных организациях и сообществах. Общение с людьми, сталкивающимися с подобными проблемами, может быть очень полезным для обмена опытом и получения поддержки.