Часто люди жалуются на наросты в области ног, похожие больше на косточки и мешающие движению. Эти костяные шишки называются вальгусной деформацией стопы. Такая шишка на стопе мешает носить любую обувь, вызывает сильную боль. Этот вырост выглядит абсолютно не эстетично и является определенной патологией, которая требует обязательного лечения, ношения специальной обуви и выполнения рекомендаций. В особенно запущенных случаях, патология требует хирургического вмешательства, без которого жизнь пациента становится действительно тяжелой.
Характеристика и причины заболевания

Вальгусная деформация стопы у взрослых выглядит весьма удручающе. Это стопы, которые будто заваливаются внутрь. Пятки разделены внушительным расстоянием (более четырех сантиметров) при сведенных вместе и выпрямленных ногах. Сами стопы уплощаются и при ходьбе возникают исключительно неприятные ощущения.
- Нарушения развития конечностей внутри утробы на разных сроках беременности.
- Ношение некачественной неправильной обуви в детском возрасте.
- Дисплазия соединительных тканей.
- Возникшее эндокринное или другое, серьезное гормональное заболевание.
- Сложное, не поддающееся лечению нарушение обмена веществ.
- Паралич, парез, остеопороз и другие заболевания.
- Нарушение осанки, постоянное ношение высоких каблуков и неудобной колодки.
- Беременность и послеродовой период до полугода.
- Избыточный вес, который создает сильное давление на кости.
- Переломы, разрывы связок и их надрывы, трещины в костях.
Могут быть и иные причины, которые сможет установить врач после осмотра и изучения истории болезни.
Наличие заболевания в дошкольном детском возрасте говорит о неправильно подобранной обуви, которая губит правильное развитие стопы уже с ранних лет. Слишком сильная физическая активность, неграмотное распределение физических упражнений – действуют также губительно, как и отсутствие нагрузки. В старшем возрасте нужно следить за возможным развитием плоскостопия и изменением стопы не только при травмах и хронических заболеваниях, но и «на постоянной основе».
При вальгусе образуется определенное искривление x-образной формы. Внутренний край пятки опирается на поверхность. В то же время начинает выпирать косточка около большого пальца ноги внутрь стопы. Чаще всего дефект сопровождается плоскостопием.
Мнение врачей:
Врачи отмечают, что массаж является важным компонентом комплексного лечения вальгусной деформации стопы у взрослых с заваливанием внутрь. Массаж способствует укреплению мышц стопы, улучшает кровообращение и помогает восстановить правильное положение стопы. Рекомендуется проводить массаж регулярно, сочетая его с упражнениями на растяжку и укрепление мышц голени и стопы. Важно обратиться к профессионалу для проведения массажа, чтобы избежать возможных осложнений и достичь наилучших результатов в лечении вальгусной деформации стопы.

Группа риска

Наиболее подверженными рассматриваемому недугу выступают люди, которые по роду профессии большую часть времени проводят на ногах: танцовщицы, модели, продавцы, хирурги, парикмахеры, учителя.
Люди, которые категорически не могут отойти от рабочего места передохнуть, вынуждены часами стоять. Попытки сменить положение сопровождаются ухудшением результатов их труда. У парикмахера выйдет не та форма прически, которая нужна, а у учителя выйдет из-под контроля большая часть класса. Продавцы не только проводят почти весь день без возможности присесть, но и часто носят тяжести, что тоже влияет на деформацию ног. К данной категории относятся также модели, фотомодели и танцовщицы. Им приходится проводить на ногах до двадцати часов в сутки, часто в обуви на высоких каблуках или попросту неудобной обуви.
Есть люди, которые более подвержены проявлению заболевания, чем другие. Несмотря на то, что такое частое явление, как плоскостопие, может появиться у любого человека, есть категория людей, которые с большей вероятностью обнаруживают у себя вальгусную деформацию стопы.
Снимаем болезненные ощущения

Первое, что нужно сделать для избавления или снижения болевых ощущений – проверить обувь. Скорее всего, она неудобной формы или изготовлена из некачественного материала. В этом случае нужно обязательно сменить обувь, что поможет снять большую часть напряжения и дискомфорта. В удобной и комфортной обуви болевые ощущения будут значительно меньше или исчезнут вовсе.
Когда косточка становится ярко выраженной, то смена обуви уже не поможет. Это сигнализирует о начале воспалительного процесса, который необходимо убрать. Хорошо помогает справляться с неприятными ощущениями:
- Массаж воспаленного места.
- Использование противовоспалительной мази.
- Специальная гимнастика, как для профилактики, так и для снятия неприятных ощущений.
- Использование нестероидных противовоспалительных препаратов. Без назначения врача их применение крайне не желательно.
Часто случается так, что прежде чем обратиться к врачу, который назначит правильное лечение, нужно сначала снять болезненные ощущения. Для этого используют как народные средства, так и медицинские препараты.

Опыт других людей
Люди, страдающие от вальгусной деформации стопы и постоянного заваливания внутрь, все чаще обращаются к массажистам в поисках облегчения. Массаж при этом становится не только приятной процедурой, но и эффективным способом коррекции проблемы. Специалисты рекомендуют проводить массаж регулярно, чтобы укрепить мышцы стопы, улучшить кровообращение и выровнять положение стопы. Пациенты отмечают, что после курса массажа становится легче ходить, уменьшается боль и дискомфорт. Массаж при вальгусной деформации стопы у взрослых действительно может стать эффективным дополнением к комплексному лечению.
Лечение на различных стадиях

Врач ортопед назначает различные варианты диагностики, в том числе, такие процедуры: плантографию и подометрию. Только на основании этих данных он сможет поставить верный диагноз вальгусная деформация стопы у взрослых, назначит лечение в зависимости от установленной степени.
Вальгусная стопа у взрослых может быть одной из трех различных степеней тяжести:
- Первая степень. Ярко выраженной деформации стопы не наблюдается, пациент легко передвигается и хорошо себя чувствует. Однако, при длительной ходьбе начинает испытывать сильные болевые и деформирующие ощущения. Это один из первых тревожных сигналов, требующий реакции и профилактических действий, которые избавят от развития болезни ног.
- Вторая степень. Внешне форма стопы начинает отличаться, но не критично. Виден небольшой нарост, а косточка увеличена. Выбрать обувь становится проблематично. Если отреагировать на этом этапе, то лечение будет заключаться в массажах, ванночках и компрессах с травами, специальными упражнениями и ортопедической обувью, стопа становится практически плоская. Если не реагировать – болезнь перейдет в последнюю стадию.
- Третья степень. Нога выглядит крайне не эстетично, она обретает не природную форму. Сильно выражен нарост и косточка около большого пальца, а сам палец располагается не ровно и деформируется. Боль преследует при каждой попытке пройтись, а подобрать обувь – практически не представляется возможным. Но даже в мягкой не давящей обуви, очевидно, просматривается проблема. На этой стадии консервативное лечение уже не целесообразно, поэтому чаще всего применяется хирургическое вмешательство. И на вопрос: как лечить вальгусную деформацию на этой стадии, любой врач ответит – только в стационаре. Само вмешательство является сложной операцией с тяжелым послеоперационным периодом. В не самых запущенных случаях справиться с недугом сначала пытаются комплексом мероприятий, обычно применяемых при диагностированной второй стадии.
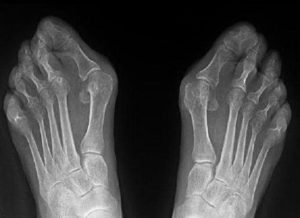
Если вы заметили у себя необычное выпирание косточки большого пальца ноги, необходимо обратиться к врачу-ортопеду. Именно он проводит осмотр стопы и при необходимости отправляет на рентген.
Хирургический метод

Деформация ног может быть в таком запущенном состоянии, что без хирургического вмешательства уже не обойтись. Больной только пытается встать на стопу, а уже испытывает ужасную боль, косточка достигает серьезных размеров. В результате, даже при попытках надеть обувь, человек не справляется и вынужден находиться дома в сидячем или лежачем положении.
Период восстановления после операции – не из самых легких и быстрых. Он длится порядка полутора месяцев, в которые пациент обязан посещать восстанавливающую терапию. Этот период дается сложно и болезненно, но его нельзя сравнить с тем, что был до операции. Ведь перед операцией, как правило, человек был не в состоянии сам дойти до палаты и надеть тапочки.
Во время хирургического вмешательства врачи делают небольшой надрез и ставят косточку на место. Затем они срезают лишние наросты и очищают от них полость тела. Дальше специалисты фиксируют плюсневую кость на соответствующем для нее месте и зашивают разрез специальными прочными нитями.
Хирургическое вмешательство считается самым кардинальным методом лечения вальгусной деформации стопы. Хирурги стараются не применять его без «крайних» показаний, а пациенты не хотят соглашаться до тех пор, пока боль не начнет сводить с ума при попытке сделать шаг.
Отсутствие лечения и патологии
Помимо боли, которая станет со временем постоянным спутником больного и будет мешать при ходьбе, пропадет возможность подобрать комфортную обувь.
Возникает ослабление мышц, появляется ряд других заболеваний, сопутствующих плоскостопию. Они будут сопровождать вальгусную деформацию и принесут множество проблем. Далее рассмотрим предполагаемые патологии при игнорировании заболевания:
- Искривление позвоночника.
- Появление патологий во внутренних органах и поражение разных суставов.
- Возникновение шпоры на пятках, пальцы при этом деформируются.
- Головная боль и недомогание.
Игнорирование заболевания не решает проблему и ведет к ухудшению ситуации. Это может окончиться печально, вплоть до абсолютной невозможности передвигаться и инвалидности человека. Поэтому, лучше все же вовремя обратиться за помощью.
Частые вопросы
Можно ли массажем убрать Вальгусную стопу?
Массаж при вальгусной деформации стопы Специалисты рекомендуют выполнять массажные воздействия, начиная как минимум с нижней части спины (пояснично-крестцовой области), затем постепенно переходить на проработку задней и передней поверхности бедер и уже в конце сеанса массажировать голени и сами стопы.
Как называется когда нога заваливается внутрь?
Вальгусная деформация стоп – дефект стопы, характеризующийся снижением высоты ее сводов и Х-образным искривлением оси. Расстояние между внутренними краями лодыжек составляет более 4-5 см, при этом пятка и пальцы отклоняются к внешней стороне, а внутренние своды стоп «заваливаются» внутрь.
Как выпрямить Вальгусную стопу?
Ношение удобной обуви, использование специальных стелек с формированием поперечного свода, ношение специальных вкладышей между первым и вторым пальцами, массаж, физиотерапевтические процедуры, ударно-волновую терапию.
Какие упражнения надо делать при Вальгусе?
Поочередное хождение на пальцах ног и на пятках, Хождение по прямой линии (начерченной на полу, либо воображаемой), В положении сидя сгибание и разгибание пальцев ног, Наклоны вперед на прямых ногах, при этом нужно стараться коснуться пола пальцами рук,
Полезные советы
СОВЕТ №1
При лечении вальгусной деформации стопы массажем, регулярность играет важную роль. Проводите массаж ежедневно или как минимум 3-4 раза в неделю для достижения наилучших результатов.
СОВЕТ №2
Не забывайте о правильной технике массажа. Обратитесь к профессионалу для обучения или проконсультируйтесь с врачом, чтобы узнать, какие движения и приемы массажа будут наиболее эффективными в вашем конкретном случае.
СОВЕТ №3
Дополните массаж специальными упражнениями для укрепления мышц стопы и голени. Регулярные упражнения помогут улучшить подвижность суставов и уменьшить нагрузку на деформированные участки.